

By Balqis Jazimah Zahari
Photo: PCSH
IPOH: Perak Community Specialist Hospital (PCSH) has marked a significant milestone with the successful completion of its first-ever ‘Cerebral Coiling in Brain Aneurysm Procedure’ for the treatment of a brain aneurysm.
In a statement, PCSH said the complex and life-saving procedure was completed in just 30 minutes, demonstrating the hospital’s capability in delivering advanced neurointerventional care.


The procedure was led by Dr. Lau Jia Him, Visiting Consultant General Interventional Radiologist & Interventional Neuroradiologist.
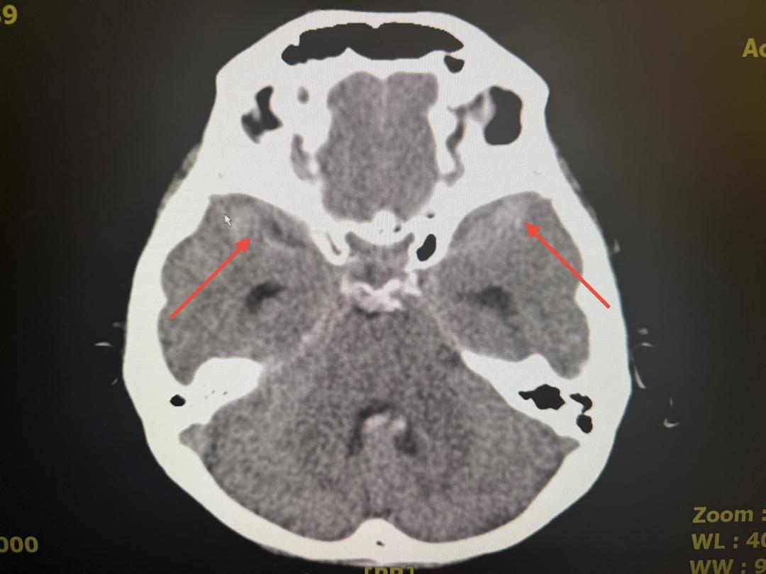
“A 60-year-old female patient was referred to PCSH after experiencing a severe headache.
“With the hospital equipped with the latest angiogram technology, the medical team successfully conducted detailed imaging, which revealed a small 2mm aneurysm in the right middle cerebral artery, a potentially life-threatening condition if left untreated,” the statement said.
The statement further explained that a brain aneurysm is a balloon-like bulge in a blood vessel in the brain.
“If it ruptures, it can cause a haemorrhagic stroke, a dangerous type of stroke caused by bleeding in or around the brain.
“Early diagnosis and prompt treatment are crucial to prevent permanent brain damage or death,” the statement added.


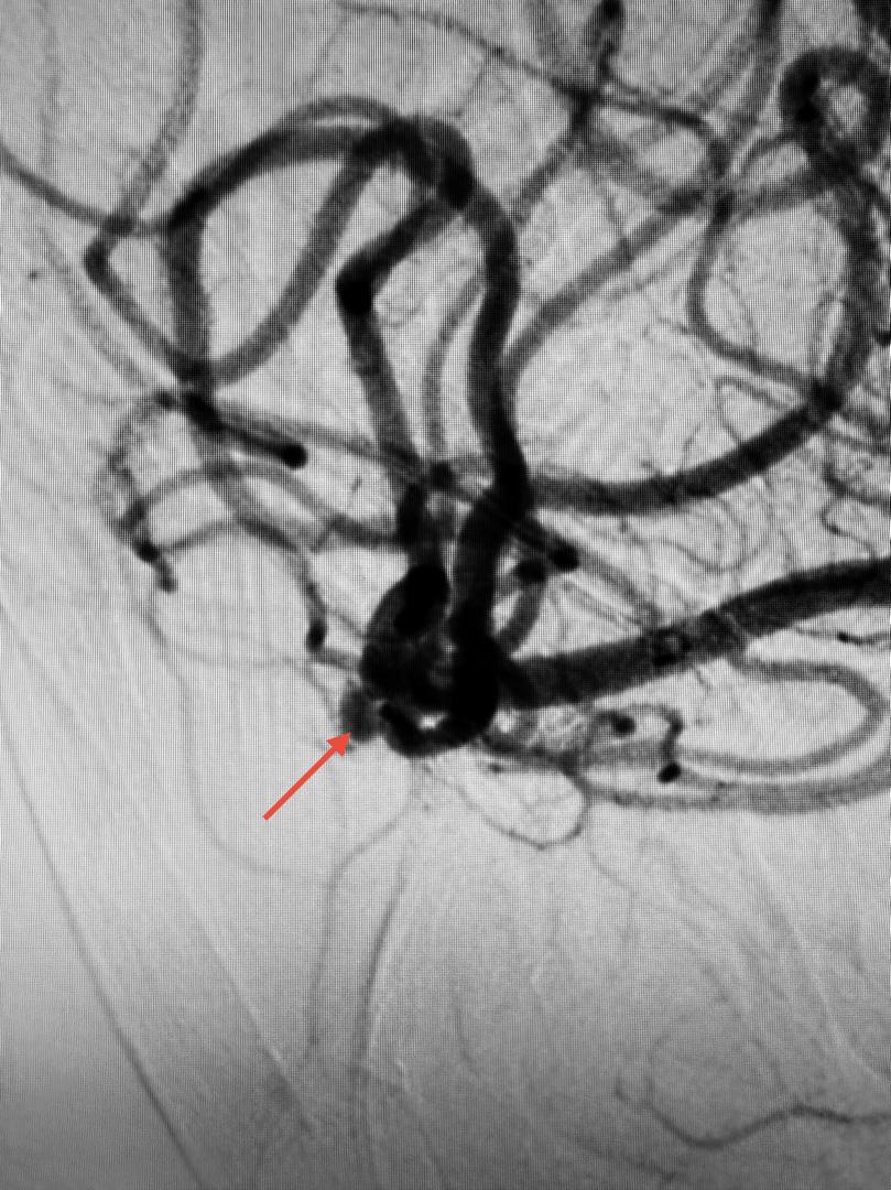
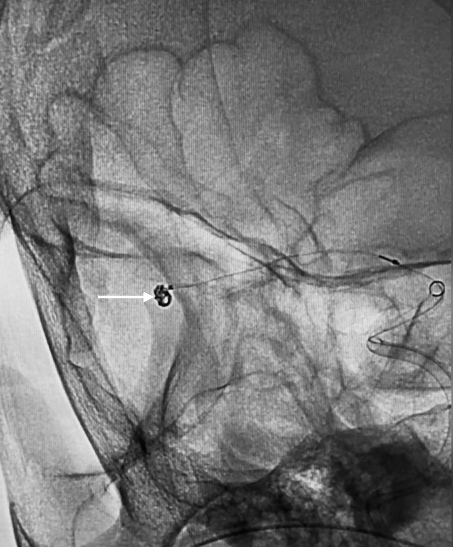
At PCSH, a Digital Subtraction Angiogram (DSA) confirmed the aneurysm’s presence.
“Using a 1.7F microcatheter (with a diameter smaller than 1mm), the team carefully delivered a platinum coil 2mm in diameter and 4cm in length into the aneurysm sac.
“The coil was electrically detached once securely positioned, filling the aneurysm and preventing any further blood flow into it.
“Only the coil remains in the aneurysm, effectively neutralizing the risk of rupture,”
The statement also noted that the entire procedure was completed in 30 minutes, showcasing both technical precision and the capabilities of PCSH’s interventional radiology services.
Meanwhile, Dr. Lau Jia Him said that Cerebral Coiling is a delicate yet effective procedure that allows us to treat aneurysms without the need for open surgery.
“It’s rewarding to see how modern interventional techniques can change the course of a patient’s life so quickly and safely.
“We are proud to offer advanced neurointerventional procedures right here in Ipoh,” he said.








